
Banyak orang ingin punya senyum yang lebih putih, rapi, dan estetik, tapi khawatir giginya akan terkikis saat dipasang veneer. Kekhawatiran ini wajar, karena pada metode veneer konvensional memang sering dilakukan pengikisan enamel agar veneer dapat melekat dengan baik.
Kabar baiknya, kini ada teknologi Veneer Prepless—solusi estetik tanpa perlu mengikis gigi.
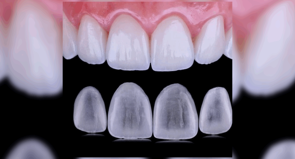
Apa itu Veneer Prepless?

Veneer prepless adalah lapisan tipis yang ditempelkan pada permukaan gigi tanpa perlu pengikisan enamel. Prosedur ini minim invasif, sehingga gigi asli tetap terjaga.
Manfaat Veneer Prepless:
- Memberikan warna gigi yang lebih cerah dan natural.
- Membuat bentuk gigi lebih simetris dan indah.
- Menutup celah kecil di antara gigi.
- Tidak merusak enamel karena gigi tidak dikikis.
Untuk siapa perawatan ini cocok?
Veneer prepless sangat ideal bagi pasien yang:
- Memiliki gigi relatif rapi namun warnanya kusam.
- Ingin memperbaiki bentuk gigi kecil atau tidak seimbang.
- Menginginkan perawatan estetik tanpa risiko besar pada struktur gigi.
Relevansi dengan Estetika
Senyum yang putih, indah, dan natural dapat memberikan dorongan besar pada rasa percaya diri. Dengan veneer prepless, pasien bisa tampil lebih percaya diri saat berbicara, tersenyum, maupun saat difoto—tanpa merasa takut giginya dirusak.
Peran Klinik Gigi Aesthetic Pondok Indah
Di Aesthetic Pondok Indah, veneer prepless menjadi salah satu layanan unggulan kami. Dengan dukungan dokter gigi estetik yang berpengalaman dan teknologi digital dentistry, setiap pasien akan mendapatkan hasil yang presisi, natural, dan sesuai karakter wajah.
Kami memastikan setiap perawatan dilakukan dengan teliti, mengutamakan kenyamanan pasien, dan hasil akhir yang tidak hanya indah tapi juga aman untuk kesehatan gigi jangka panjang.
Kesimpulan
Veneer prepless adalah pilihan tepat bagi Anda yang ingin mempercantik senyum tanpa khawatir kehilangan lapisan gigi asli. Perawatan ini minim risiko, hasilnya natural, dan bisa memberikan perubahan signifikan pada penampilan.
Senyum sehat dan estetik bukan lagi sekadar impian. Konsultasikan dengan tim profesional di Aesthetic Pondok Indah, dan temukan bagaimana veneer prepless dapat menjadi solusi terbaik untuk senyum Anda.