
Kenapa Gigi Bisa Ompong?
Gigi ompong dapat terjadi akibat berbagai faktor, baik karena kecelakaan, penyakit gusi, atau faktor usia. Kehilangan gigi tidak hanya mempengaruhi estetika senyum, tetapi juga berdampak pada fungsi mengunyah dan kesehatan mulut secara keseluruhan.
1. Penyakit Gusi dan Infeksi
Penyakit gusi seperti periodontitis dapat merusak jaringan pendukung gigi, menyebabkan gigi goyang dan akhirnya tanggal.
2. Karies Gigi Parah
Gigi yang mengalami kerusakan akibat karies dalam jangka panjang bisa kehilangan kekuatan strukturalnya hingga akhirnya harus dicabut.
3. Trauma atau Cedera
Benturan keras akibat kecelakaan atau olahraga dapat menyebabkan gigi patah atau tanggal secara tiba-tiba.
4. Faktor Usia dan Osteoporosis
Seiring bertambahnya usia, kepadatan tulang rahang bisa menurun, yang menyebabkan gigi lebih rentan goyang dan tanggal.
Solusi untuk Mengatasi Gigi Ompong
Jika Anda mengalami gigi ompong, ada beberapa solusi yang bisa dipertimbangkan untuk mengembalikan fungsi dan estetika gigi:
1. Implan Gigi
Implan gigi adalah solusi terbaik untuk menggantikan gigi yang hilang secara permanen. Implan terdiri dari sekrup titanium yang ditanam di tulang rahang dan mahkota gigi buatan yang terlihat alami.
- Kelebihan: Tampilan alami, tahan lama, dan tidak mempengaruhi gigi di sekitarnya.
- Kekurangan: Biaya lebih tinggi dan membutuhkan waktu pemulihan setelah pemasangan.
2. Bridge Gigi
Bridge digunakan untuk menggantikan satu atau lebih gigi yang hilang dengan cara menjembatani celah antara gigi yang masih ada.
- Kelebihan: Proses lebih cepat dibanding implan, hasil estetis cukup baik.
- Kekurangan: Membutuhkan gigi di sebelahnya sebagai penyangga, sehingga dapat mempengaruhi kesehatan gigi lain.
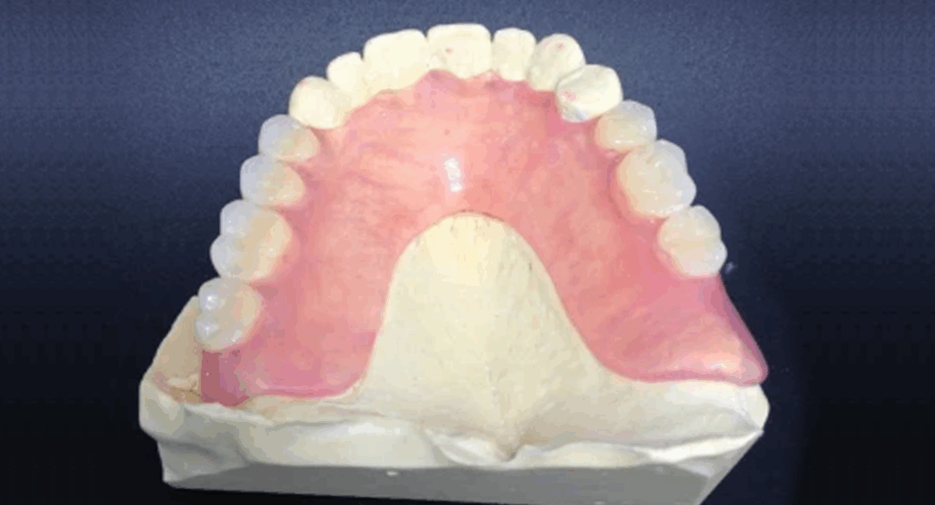
3. Gigi Tiruan Lepasan
Gigi palsu lepasan menjadi pilihan bagi mereka yang kehilangan banyak gigi dan menginginkan solusi yang lebih ekonomis.
- Kelebihan: Biaya lebih terjangkau dan bisa dilepas-pasang sesuai kebutuhan.
- Kekurangan: Bisa terasa kurang nyaman dan memerlukan perawatan ekstra agar tetap stabil di mulut.
Gigi ompong bukan hanya masalah estetika, tetapi juga berdampak pada kesehatan dan fungsi mengunyah. Ada berbagai pilihan solusi seperti implan, bridge, dan gigi tiruan yang bisa disesuaikan dengan kebutuhan dan kondisi masing-masing pasien.
Untuk mendapatkan perawatan terbaik dan konsultasi mengenai solusi yang paling cocok untuk Anda, kunjungi Aesthetic Pondok Indah. Tim dokter gigi profesional kami siap membantu Anda mendapatkan senyum yang sehat dan percaya diri!
Gigi Palsu (Protesa Lepasan): Solusi Gigi Hilang yang Nyaman

Perawatan Profesional & Nyaman di Aesthetic Pondok Indah, Jakarta Selatan
Mengalami kehilangan gigi bisa berdampak besar, bukan hanya secara estetika, tapi juga terhadap fungsi pengunyahan, berbicara, dan kepercayaan diri. Salah satu solusi yang sering dicari oleh masyarakat adalah gigi palsu lepasan atau dikenal dengan istilah medis protesa lepasan. Di Aesthetic Pondok Indah, kami menyediakan berbagai pilihan protesa lepasan dengan desain yang modern, presisi tinggi, dan nyaman dipakai sehari-hari.
Apa Itu Gigi Palsu (Protesa Lepasan)?
Protesa lepasan adalah alat pengganti gigi yang bisa dilepas-pasang sendiri oleh pasien. Gigi palsu jenis ini digunakan untuk menggantikan satu atau lebih gigi yang hilang, baik di rahang atas, bawah, atau keduanya. Protesa lepasan biasanya terbuat dari kombinasi bahan akrilik, resin, logam, atau fleksibel thermoplastic.
Jenis-Jenis Gigi Palsu Lepasan
- Protesa Parsial Akrilik
Menggantikan beberapa gigi yang hilang. Terbuat dari bahan akrilik, dan biasanya memiliki kait logam untuk penopang.

- Protesa Parsial Valplast (Fleksibel)
Terbuat dari bahan thermoplastic yang fleksibel, ringan, tanpa kait logam, lebih estetik dan nyaman dipakai.

- Protesa Lengkap (Full Denture)
Digunakan jika seluruh gigi di rahang atas atau bawah telah tanggal. Cocok untuk pasien lanjut usia.

- Overdenture
Gigi palsu yang didesain untuk duduk di atas akar gigi yang masih tersisa atau implan. Lebih stabil dan nyaman dibandingkan full denture biasa.

Siapa yang Membutuhkan Gigi Palsu?
- Pasien yang kehilangan 1 atau lebih gigi, tetapi belum siap atau tidak memungkinkan untuk implan
- Pasien dengan tulang rahang yang tipis atau tidak mencukupi untuk tindakan implan
- Lansia yang sudah kehilangan semua gigi
- Pasien yang membutuhkan pengganti gigi secara fungsional dan estetis dalam waktu relatif cepat dan biaya lebih terjangkau
Manfaat Menggunakan Gigi Palsu
✅ Memulihkan fungsi pengunyahan
✅ Meningkatkan estetika wajah dan senyum
✅ Mendukung fungsi bicara yang lebih jelas
✅ Mencegah pergeseran gigi lain yang masih tersisa
✅ Solusi sementara sebelum tindakan tetap (seperti implan)
Proses Pembuatan Gigi Palsu di Aesthetic Pondok Indah
- Konsultasi & Pemeriksaan
Dokter gigi akan memeriksa kondisi mulut dan struktur rahang Anda secara menyeluruh. - Pengambilan Cetakan Gigi
Dilakukan untuk mendapatkan model rahang yang akurat. - Desain & Pemilihan Material
Anda akan diajak berdiskusi memilih jenis gigi palsu paling sesuai – dari segi kenyamanan, fungsi, estetika, dan anggaran. - Pencocokan & Penyesuaian
Setelah protesa jadi, akan dilakukan fitting dan penyesuaian agar nyaman dipakai. - Instruksi Pemakaian & Perawatan
Pasien akan diberikan edukasi tentang cara memakai, melepas, dan merawat gigi palsu dengan benar.
Tips Merawat Gigi Palsu Lepasan
Do:
- Lepas gigi palsu sebelum tidur
- Bersihkan dengan sikat khusus dan cairan pembersih gigi palsu
- Simpan dalam air bersih saat tidak digunakan
- Kontrol rutin ke dokter gigi setiap 6 bulan
Don’t:
- Jangan menyikat terlalu keras agar tidak merusak permukaan gigi palsu
- Jangan gunakan air panas (dapat merusak bentuknya)
- Jangan gunakan pasta gigi biasa (terlalu abrasif)
Kenapa Pilih Aesthetic Pondok Indah?
Suasana klinik yang private, tidak ramai, nyaman seperti di rumah
Ditangani langsung oleh dokter gigi berpengalaman dan profesional
Menggunakan teknik cetak digital & material berkualitas
Lokasi strategis di Pondok Indah, Jakarta Selatan
FAQ tentang Gigi Palsu Lepasan
Apakah gigi palsu lepasan nyaman digunakan?
Ya, jika dibuat dengan presisi dan disesuaikan dengan struktur mulut Anda. Kami juga menyediakan gigi palsu fleksibel untuk kenyamanan ekstra.
Berapa lama bisa dipakai?
Dengan perawatan yang baik, gigi palsu bisa bertahan 5–10 tahun. Namun perlu kontrol rutin karena bentuk gusi bisa berubah seiring waktu.
Bolehkah langsung makan setelah pakai gigi palsu?
Disarankan mulai dari makanan lunak dulu, baru bertahap ke makanan lebih keras saat sudah terbiasa.
Konsultasi Sekarang
Jika Anda sedang mencari gigi palsu terbaik di Jakarta Selatan, atau ingin konsultasi protesa lepasan yang sesuai dengan kebutuhan dan gaya hidup Anda, tim kami di Aesthetic Pondok Indah siap membantu.