
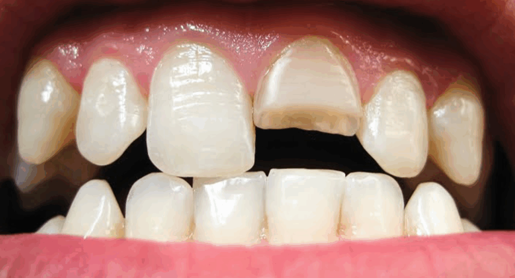
Kalau kamu pernah ngalamin gigi depan retak, patah, atau bolong, pasti langsung kepikiran:
“Wah, ini bakal kelihatan jelek banget nggak, ya?”
Tenang. Sekarang sudah ada solusi praktis dan estetik: penambalan gigi depan dengan bahan resin komposit yang hasilnya super natural dan minim invasif. Prosedur ini jadi salah satu perawatan favorit di Aesthetic Pondok Indah, Jakarta Selatan karena hasilnya bisa nyatu sempurna dengan warna asli gigi, nyaman, dan bisa langsung selesai dalam satu kunjungan.
Siapa Saja yang Butuh Tambal Gigi Depan Estetik?
Perawatan ini cocok banget buat kamu yang mengalami:
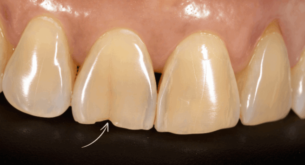
Gigi depan berlubang ringan hingga sedang

Gigi patah sebagian karena kecelakaan kecil atau trauma ringan

Gigi depan retak karena menggigit benda keras

Warna gigi tidak merata di bagian tertentu

Bentuk gigi kecil atau tidak simetris dan ingin diperbaiki tanpa veneer

Tambal gigi depan estetik bukan cuma soal fungsi, tapi juga bagian dari smile makeover yang sekarang banyak dicari anak muda zaman sekarang.
Kenapa Banyak Pasien Pilih Tambalan Estetik?
- Lebih ekonomis dibanding veneer atau crown
- Prosesnya cepat dan minim rasa sakit
- Hasilnya bisa langsung terlihat
- Warna bisa menyatu dengan gigi asli, tidak kelihatan palsu
- Bisa dilakukan dalam 1 kali kunjungan
Bahan yang Digunakan: Resin Komposit
Tambalan untuk gigi depan menggunakan resin komposit, yaitu bahan tambal berwarna gigi yang bisa dibentuk dan dipoles menyerupai tekstur alami. Komposit ini juga cukup kuat untuk gigi depan, selama tidak dipakai menggigit benda terlalu keras.
Proses Penambalan di Aesthetic Pondok Indah
- Konsultasi & Pemeriksaan Gigi
Dokter akan mengecek kondisi gigi secara menyeluruh dan memberikan saran treatment terbaik. - Pemilihan Warna Tambalan
Warna tambalan disesuaikan dengan warna asli gigi kamu supaya hasilnya benar-benar natural. - Pembersihan & Persiapan Area Gigi
Area gigi yang berlubang atau patah dibersihkan dari jaringan yang rusak tanpa merusak jaringan sehat. - Aplikasi Resin Komposit
Resin diaplikasikan, dibentuk, lalu disinari agar mengeras. - Finishing & Polishing
Bagian akhir ini penting untuk bikin permukaan tambalan halus dan nggak mengganggu saat kamu menggigit atau berbicara.
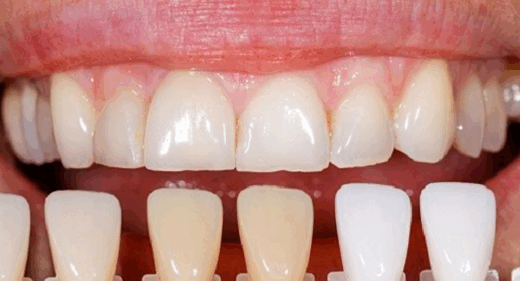
Hasilnya? Natural Banget!
Kalau kamu khawatir tambalannya kelihatan mencolok, nggak usah. Dengan teknik layering dan pemilihan warna yang tepat, hasil akhirnya akan menyatu dengan gigi asli dan nggak kelihatan kalau itu pernah ditambal.
Tips Merawat Gigi Setelah Tambalan Estetik
Do’s:
- Sikat gigi minimal 2x sehari dengan sikat berbulu halus
- Gunakan benang gigi atau dental floss
- Minum air putih setelah makan/minum yang manis
- Rutin kontrol ke dokter gigi setiap 6 bulan
Don’ts:
- Jangan menggigit es, kuku, pensil, atau biji-bijian keras
- Jangan konsumsi makanan/minuman terlalu panas & dingin bergantian
- Jangan tunda perawatan jika tambalan terasa tidak nyaman atau berubah warna
Kenapa Harus di Aesthetic Pondok Indah?
- Klinik modern di Jakarta Selatan dengan fasilitas lengkap dan suasana super nyaman
- Dokter gigi profesional & berpengalaman di bidang estetik
- Pelayanan private, nggak bikin tegang atau canggung
- Cocok untuk pasien yang ingin hasil maksimal dengan suasana seperti di rumah sendiri
Pertanyaan yang Sering Dicari:
Berapa harga tambal gigi depan estetik?
Harga tergantung tingkat kerusakan dan bahan, mulai dari Rp1.500.000 – Rp2.000.000.
Apakah sakit?
Umumnya tidak. Untuk lubang kecil sampai sedang, prosedurnya bisa dilakukan tanpa bius.
Berapa lama daya tahannya?
Dengan perawatan yang tepat, bisa bertahan 5-8 tahun bahkan lebih.
Ingin Senyum Rapi Tanpa Harus Ribet?
Langsung jadwalkan konsultasi dengan dokter estetik kami di Aesthetic Pondok Indah. Senyum natural dan percaya diri bisa kamu mulai dari perawatan sederhana seperti tambal gigi depan.